Vesícula en porcelana
La calcificación completa o parcial de la pared vesicular tiene su importancia al ser considerada como una lesión premaligna por lo que requiere un Tratamiento quirúrgico.
Es la Rx simple de abdomen la que establece el diagnosico detectando un área calcificada a nivel vesicular, siendo necesario su confirmación por US.
Este hallazgo representa una alta incidencia de carcinoma ( hasta el 60% de los casos ).
Generalmente se realiza una colecistectomía profiláctica incluso si el paciente está asintomático.
Radiografía de abdomen simple, de pie, vista sagital, muestra imagen radiopaca de forma oval.
.gif)
Radiografía de abdomen simple, de pie, vista frontal , muestra imagen radiopaca de forma oval, a la derecha de la columna vertebral.
.gif)
.gif)
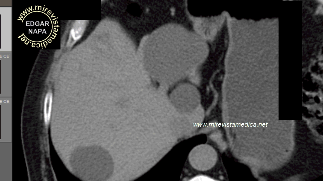
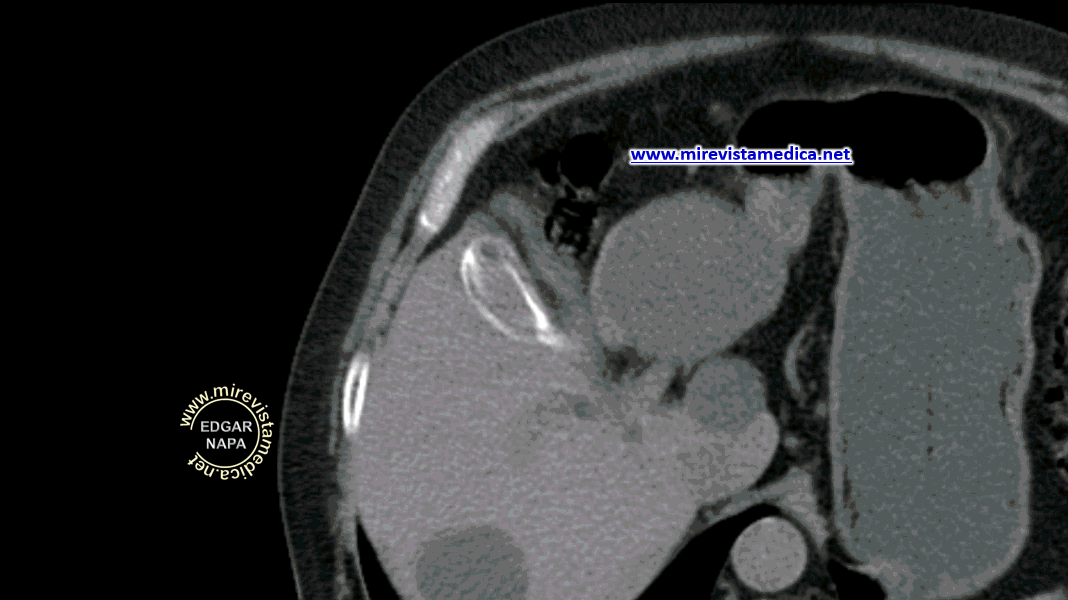
Tomografía abdominal, sin contraste, muestra imagen hiperdensa en la fosa vesicular. en relación con vesícula de paredes calcificadas.
.gif)
Tomografía abdominal, sin contraste, muestra la pared hiperdensa que delimita su silueta.
.gif)
Tomografía abdominal, con contraste , muestra la pared hiperdensa que delimita su silueta.
Tomografía abdominal, con contra ste, muestra imagen hiperdensa en la fosa vesicular. en relació n con vesícula de paredes calcificada.
.gif)
Información dirigida a estudiantes y profesionales de ciencias de la salud.


.gif)
.gif)
.gif)