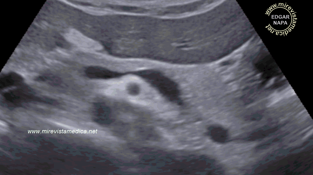
MORFOLOGÍA DEL PÁNCREAS EN ULTRASONIDO
El parénquima pancreático presenta ecos finos distribuidos de manera homogénea, no evidenciándose lesiones focales,
Los contornos de la silueta pancreáticas son circunscritos, liso (en algunas ocasiones lobulado).
.gif)
PARTES Y MEDIDAS NORMALES DEL PÁNCREAS EN ULTRASONIDO (incidencia transversa)
1. CABEZA: <30 mm.
2. CUERPO: <25 mm.
3. COLA: <20 mm.
La ecogenicidad del parénquima pancreático varia con edad :
- Es hipoecogénico en pacientes jóvenes.
- Es isoecogénico en pacientes adultos.
- Es hiperecogénico en pacientes adultos mayores.
En la imagen ecográfica,
vista transversa, se observa parcialmente la silueta pancreática, no se observa la cola, por interposición de asas intestinales.
.gif)
Información dirigida a estudiantes y profesionales de ciencias de la salud, como Medicina interna y Medicina intensivista.


.gif)

.gif)
