• Login
  • INICIO
  • Anatomía humana
  • Anatomía Imagenológica
  • Semiología imagenológica
  • Diagnostico por imagenes

  • Descripción de diversos temas de anatomía humana, imagenología y diagnóstico por imágenes, apoyado por esquemas, dibujos y Gifs para su mejor compresión.



    • Anatomía humana .
    • Anatomía imagenológica .
    • Diagnóstico por imágenes .


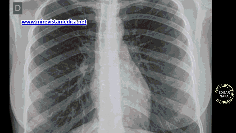
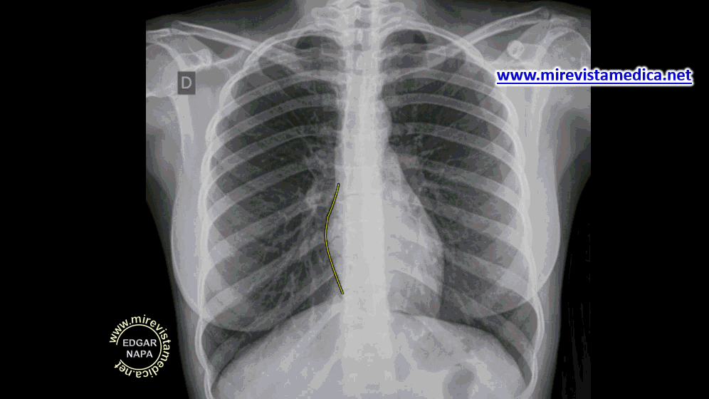
SILUETA ​​CARDIACA EN RADIOGRAFÍA


Anatomía descriptiva del corazón


Anatomía de la aorta

information

This is an excellent place for you to add a paragraph and let your visitors know more about you and your services. Easily edit by go to tab pages and content and click edit.

INICIO | Anatomía humana | Anatomía Imagenológica | Semiología imagenológica | Diagnostico por imagenes

Contact Us

  • Your address
  • admin@admin.com

Follow us

2026 Company Inc. All rights reserved. Powered by RVsitebuilder
  • INICIO
  • Anatomía humana
  • Anatomía Imagenológica
  • Semiología imagenológica
  • Diagnostico por imagenes