Es la inflamación aguda de la vesícula biliar por obstrucción de un calculo localizado dentro del cuello vesicular o el conducto cístico.
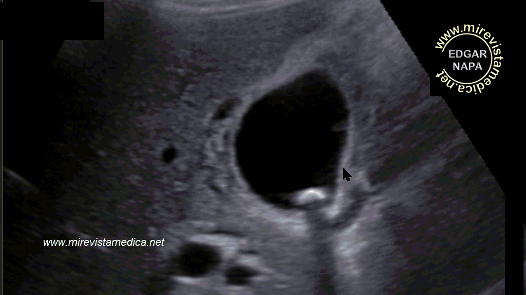
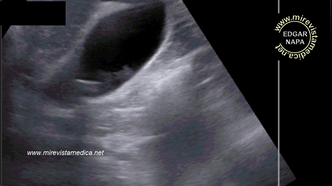
Hallazgos por ultrasonido (US_) :
- imagen hiperecogénica, movil, de márgenes circunscritos que deja sombra acústica posterior (litiasis).
- Signo de Murphy ecográfico. Pain and tenderness with transducer pressure directly over gallbladder.
- Engrosamiento de pared vesicular (se le denomina así cuando es > 3 mm). Hazy delineation of GB wall with echogenic pericholecystic fat.
.gif)
.gif)

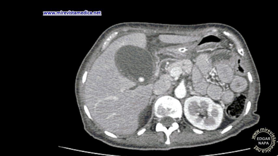
Hallazgos tomográficos en la colecistitis aguda calculosa.
- Distensión de la vesícula biliar, que es > 5 cm en el eje corto.
- Engrosamiento de pared vesicular, > 3 mm, con realce al contraste de su pared con imágenes de "hebras de grasas" de localización pericolecística.
- Calculo calcificado (15% de los casos).
- Realce al contraste del parénquima hepático adyacente.
.gif)


.gif)
.gif)
.gif)
.gif)